.
2026/03/21
.
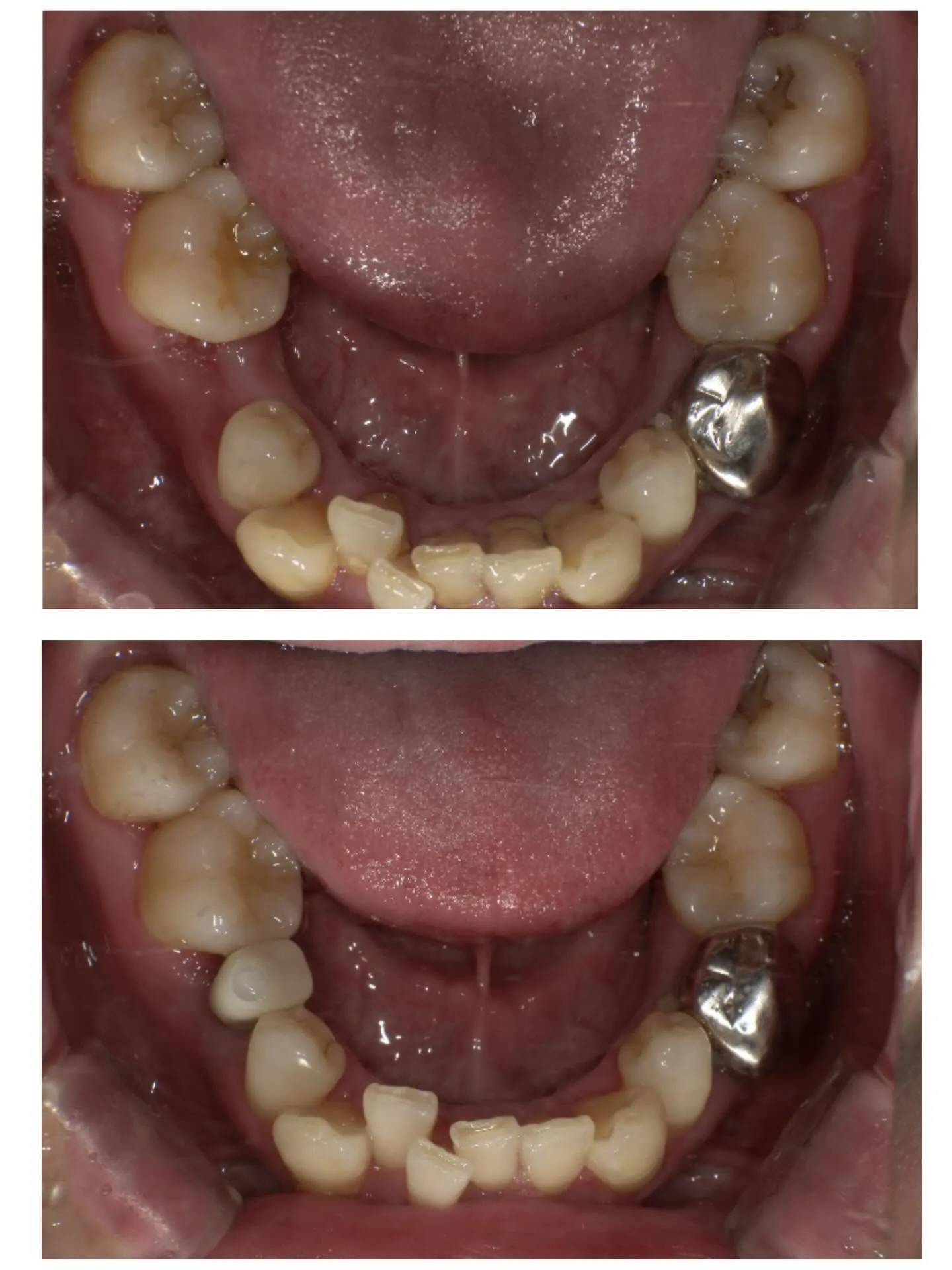
【インプラント症例】
右下の5番目の歯を失った部分に
インプラント治療を行い、
当日に被せ物までセットしました🦷
インプラントは、顎の骨に人工歯根を埋め込み、
しっかり噛める状態を再現する治療です✨
✔ 自然な見た目
✔ 安定した噛み心地
また、手術は局所麻酔下で行うため
術中の痛みはほとんどありません。
術後の痛みも、鎮痛薬でコントロール可能な
ケースが多いです😊💊
「怖そう…」というイメージを持たれがちですが、
安心して受けていただける治療です✨💫
当院では鎮静(静脈麻酔)や笑気麻酔で行う事も
出来ますので気になる方はお気軽に
お問い合わせください💁🌈
#歯科大阪 #インプラント #歯科医院 #阿波座 #大阪市西区


