.
2025/10/10
.
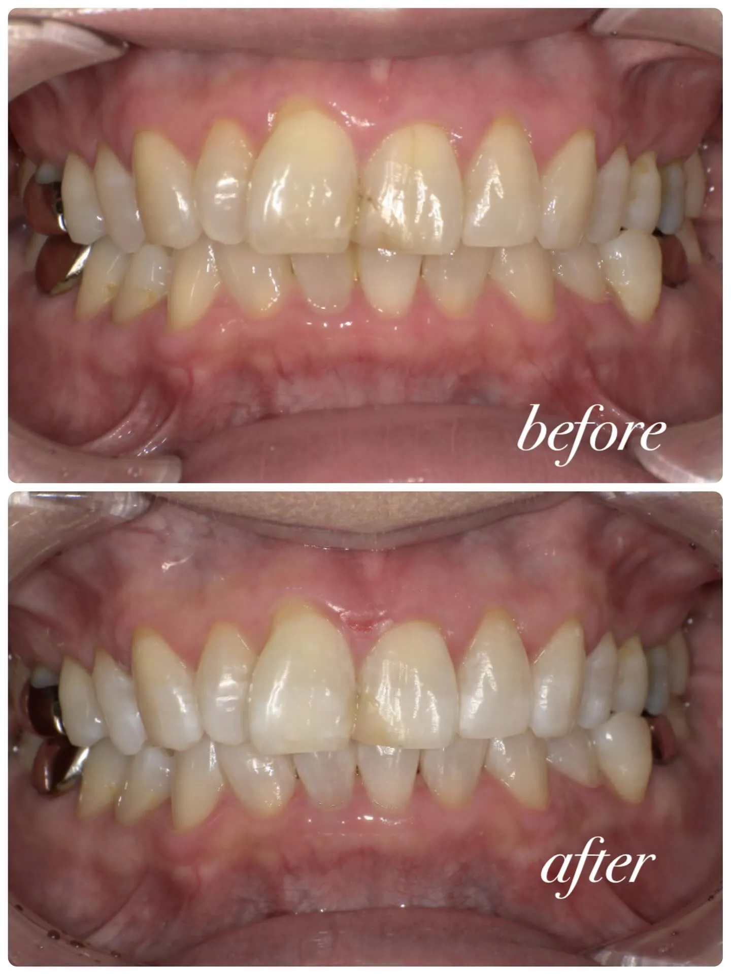
✨ホワイトニング症例のご紹介✨
歯のくすみや黄ばみが気になっていた患者さま🦷
ホワイトニングを行い、
自然で明るい白さに仕上がりました🤍
笑顔の印象がぐっと明るくなり、
「人前で笑うのが楽しくなった🤩」と
嬉しいお言葉をいただきました🩵
トーンアップしたい方、
まずはお気軽にご相談ください🦷💎✨
#歯科医 #歯科医院 #ホワイトニング #口腔外科 #審美歯科 #ボトックス #小児歯科 #大阪市西区 #阿波座 #立売堀 #歯科医院大阪 #ホワイトニング大阪 #ホームホワイトニング #デュアルホワイトニング #オフィスホワイトニング







